| 치료(전/후) |
진료내용 |
|
|
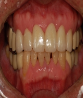
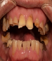
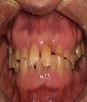
| ● 진료과목 : [보철,충치치료] 전악 재건
|
| ● 내용 : 전악 재건 |
|
|
|
| ● 진료과목 : [보철,충치치료] 전악 재건
|
| ● 내용 : 전악 재건 |
|
|
|
| ● 진료과목 : [보철,충치치료] 치경부 충치치료
|
| ● 내용 : 치경부 충치치료 |
|
|
|
| ● 진료과목 : [보철,충치치료] 인접면 충치치료
|
| ● 내용 : 치아와치아 사이에 충치가 생기면 대부분 교합면을 포함하 |
|
|
|
| ● 진료과목 : [보철,충치치료] 지르코니아 보철
|
| ● 내용 : 지르코니아 보철 사례입니다. |
|
|
|
| ● 진료과목 : [보철,충치치료] 지르코니아 크라운
|
| ● 내용 : 구치부의 지르코니아 크라운 예입니다. |
|
|
|
| ● 진료과목 : [보철,충치치료] 심한 충치를 가진 구치부의 보철치료
|
| ● 내용 : 충치가 심하여 약해진 치아의 보철치료
안에 치아강도 보강 |
|
|
|
| ● 진료과목 : [보철,충치치료] 지르코니아 보철
|
| ● 내용 : 깨지지 않고 아름다운 지르코니아 보철 |
|
|
|
| ● 진료과목 : [보철,충치치료] 어금니 깊은 충치
|
| ● 내용 : 신경치료 + 잇몸수술 + 주조기둥 + 크라운 |
|
|
|
| ● 진료과목 : [보철,충치치료] 상악소구치
|
| ● 내용 : 레진온레이 |
|
|
|
| ● 진료과목 : [보철,충치치료] 치경부 충치치료
|
| ● 내용 : 레이저에칭 후 레진사용 |
|
|
|
| ● 진료과목 : [보철,충치치료] 상악 구치
|
| ● 내용 : 레진온레이 |
|
|
|
| ● 진료과목 : [보철,충치치료] 상악소구치
|
| ● 내용 : 레진온레이 |
|
|
|
| ● 진료과목 : [보철,충치치료] 하악구치
|
| ● 내용 : 레진인레이 |
|
|
|
| ● 진료과목 : [보철,충치치료] 하악소구치
|
| ● 내용 : 금온레이 |
|